Last Updated on [modified_date_only] by Shroddha Bhattacharyya
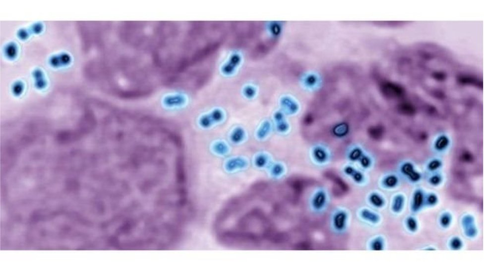
ট্রাইব টিভি বাংলা ডিজিটাল: গনোরিয়া হলো একটি অত্যন্ত সংক্রামক (Gonorrhoeae) যৌনবাহিত রোগ (STI), যা মূলত যৌন সম্পর্ক, গভীর চুম্বন ও মুখমেহনের মাধ্যমেও ছড়াতে পারে। এটি নারী ও পুরুষ উভয়ের শরীরেই নানা ধরনের জটিলতা তৈরি করতে পারে।
উপসর্গ কবে দেখা যায় (Gonorrhoeae)
সংক্রমিত হওয়ার ৩-৪ দিনের মধ্যেই এই রোগের উপসর্গ প্রকাশ পায়। পেশাবের সময় জ্বালা, যৌনাঙ্গে অস্বাভাবিক স্রাব, তলপেটের ব্যথা প্রভৃতি সাধারণ উপসর্গ। চিকিৎসা থাকলেও প্রতিরোধ ছিল না
চিকিৎসা পদ্ধতি থাকলেও এতদিন পর্যন্ত গনোরিয়ার কোনো প্রতিরোধক টিকা ছিল না (Gonorrhoeae)। ফলে সংক্রমণ ঠেকানো যাচ্ছিল না—বিশেষ করে যখন অ্যান্টিবায়োটিক প্রতিরোধ ক্ষমতা বাড়ছে।
ইংল্যান্ডের ঐতিহাসিক উদ্যোগ (Gonorrhoeae)
২০২৫ সালে যুক্তরাজ্যে বিশ্বের প্রথম গনোরিয়া টিকাদান কর্মসূচি শুরু হয়েছে।
NHS ও DHSC যৌথভাবে এই কর্মসূচির সূচনা করেছে।
দেশজুড়ে বিভিন্ন যৌনস্বাস্থ্য ক্লিনিকে বিনামূল্যে টিকা দেওয়া হবে নির্দিষ্ট যোগ্য প্রাপ্তবয়স্কদের।

আরও পড়ুন: SBI Credit Card Policy: স্টেট ব্যাঙ্কের নয়া নীতি, ১১ অগাস্ট থেকে বন্ধ হতে চলেছে এই সুবিধা
২০২৩ সালে ইংল্যান্ডে রিপোর্ট হয়েছে ৮৫,০০০-এর বেশি সংক্রমণ, যা ২০১২ সালের তুলনায় তিন গুণ বেশি! অ্যান্টিবায়োটিক-প্রতিরোধী গনোরিয়ার বৃদ্ধি বিশ্ব স্বাস্থ্য কর্তৃপক্ষের মাথাব্যথার কারণ। WHO বলছে, ২০২০ সালে গনোরিয়ার নতুন সংক্রমণ হয়েছে ৮২.৪ মিলিয়ন মানুষের মধ্যে। সরকারের বক্তব্য, জনস্বাস্থ্য মন্ত্রী অ্যাশলি ডালটন বলেন—
“বিশ্বের প্রথম সরকার পরিচালিত গনোরিয়া টিকাদান কর্মসূচি শুধু সংক্রমণের হার কমাবে না, অ্যান্টিবায়োটিক প্রতিরোধের ঝুঁকিও নিয়ন্ত্রণে আনবে।”একটা সময় যা ছিল অসম্ভব, আজ তা সম্ভব করেছে চিকিৎসাবিজ্ঞান। গনোরিয়ার মতো ভয়ংকর সংক্রামক যৌনরোগকে ঠেকাতে ইংল্যান্ডের এই পদক্ষেপ এক যুগান্তকারী ঘটনা, যা আগামী দিনে গোটা বিশ্বের জন্য পথপ্রদর্শক হয়ে উঠতে পারে।


